Choroidal Neovascularization – November, 2025

History:
A 17-year-old patient presented with right eye (OD) blurry vision 1 month following a high-speed baseball striking his right orbit. His pain and initial hyphema had subsided but blurry vision remained.
Exam:
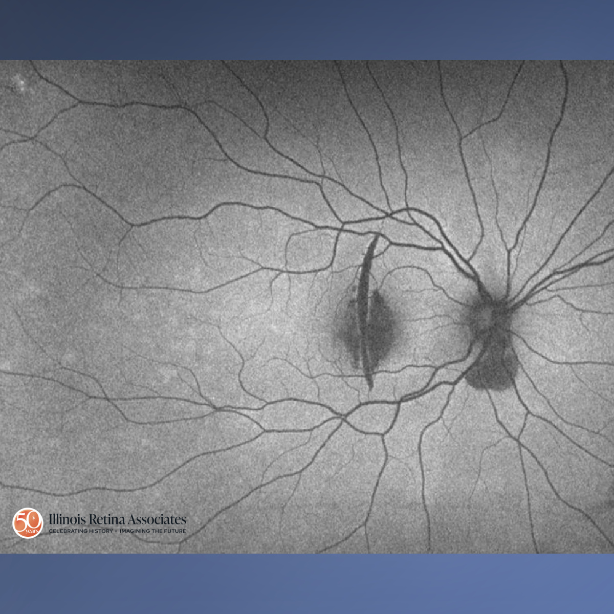
Visual acuity was count fingers at 5 ft and 20/25 in the left eye (OS). Intraocular pressure was normal in both eyes (OU). Anterior segment exam was remarkable for mild pigment on the anterior capsule OD otherwise normal OU. Posterior segment OD revealed a 0.2 CDR with chronic inferior vitreous hemorrhage and a white linear streak through the fovea with mild epiretinal membrane. There was also a small subretinal hemorrhage inferior to the optic disc (Fig. 1 and 2). There were no retinal tears or detachments. Posterior segment OS was normal. OCT OD revealed a break in Bruch membrane with mild subretinal fluid and epiretinal membrane (Fig 3).



Differential Diagnosis:
• Myopic Lacquer crack
• Angioid Streak
• Choroidal Neovascularization
Discussion:
Choroidal Neovascularization
Choroidal rupture results from traumatic ocular compression disrupting the choriocapillaris and Bruch membrane. It frequently occurs concentric to the optic disc within the posterior pole. Initial injury may be accompanied by subretinal hemorrhage and sub-RPE hemorrhage in addition to hyphema, iris sphincter rupture, commotion retinae, vitreous hemorrhage, retinal tears, and orbital fractures given the degree of blunt impact.1 As the vitreous hemorrhage in this patient resolved, the characteristic white, crescent shaped lesion is seen. It is important to monitor for secondary choroidal neovascularization. Prognosis is dependent on the location of the rupture and any associated subretinal hemorrhage.
If you are looking to schedule your first consultation, please contact us today by clicking HERE and find the location that is nearest you!
References:
- Fineman, M. S. (Ed.). (2024). Retina: Color Atlas and Synopsis of Clinical Ophthalmology (4th ed.). Wolters Kluwer. Lippincott Williams & Wilkins.